Article originally published by Spinalnews Spinal cord stimulation (SCS) therapy has been shown to trigger instant improvements in arm and hand mobility, enabling people affected…
Article originally published by Neuronews With multiple large clinical trials currently underway to assess thrombectomy treatments in patients with medium vessel occlusion (MeVO) stroke, Johanna…
Article originally published by Spinalnews Experts in Germany are working on an ‘intelligent suit’ with which they hope to significantly improve rehabilitation after a serious…
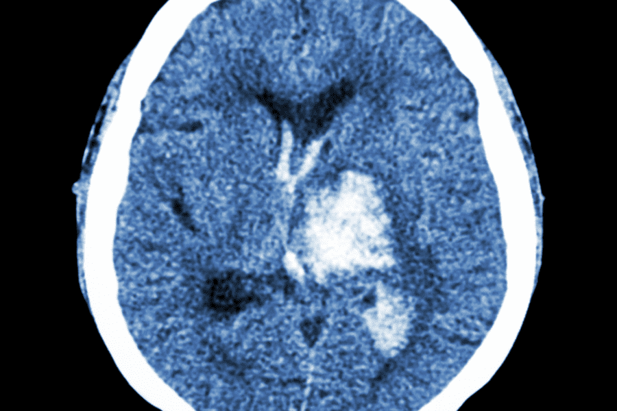
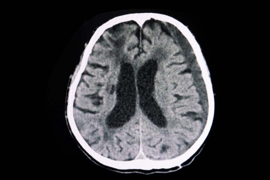
Article originally published in NeuroNews International. The two prevailing techniques used during surgical treatments of traumatic acute subdural haematomas (SDHs)—craniotomy and decompressive craniectomy—have demonstrated broadly similar…
Article originally published by Spinalnews Onward Medical has announced a recent publication in Nature showing that a wireless brain-computer interface (BCI) can use patients’ thoughts to modulate…
Article originally published by Neuronews With multiple large clinical trials currently underway to assess thrombectomy treatments in patients with medium vessel occlusion (MeVO) stroke, Johanna…
Article originally published by Spinalnews The utilisation and satisfaction of telemedicine has remained high among spine patients, even after the easing of COVID-19 lockdown restrictions.…
Article originally published by NeuroNews Alessandro Gregio (University of Bologna, Bologna, Italy) recently presented midterm results from the Carotid asymptomatic stenosis observational study during the…
Article originally published by NeuroNews A multicentre study presented at the recent European Stroke Organisation Conference (ESOC; 24–26 May, Munich, Germany) has found that vision…
Article originally published by Spinalnews Jason Pope (Santa Rosa, USA) discusses closed-loop spinal cord stimulation (SCS) and its potential to provide sustained, holistic outcomes for chronic pain…